До настоящего времени неинвазивная диагностика паразитарных и непаразитарных кист сердца с помощью эхокардиографии (ЭхоКГ) относится к разряду «казуистической» ультрасонологии. Доказательством служит небольшой объем публикаций в специальной отечественной и зарубежной литературе, нередко насчитывающий лишь несколько строк [1—4]. Цель данного сообщения — ретроспективный анализ собственного опыта выявления кист сердца различного происхождения.
За 30-летний период обследованы 11 пациентов с кистами сердца различного происхождения (6 мужчин, 5 женщин в возрасте от 9 до 55 лет, средний возраст 36 лет). Комплексное исследование, включающее одно- и двухмерную ЭхоКГ, импульсноволновое, постоянноволновое и цветовое допплеровское картирование кровотока, выполняли на приборах Ultramark-9, (ATL, CШA), SSD-870, (Аloka, Япония), Sequoja 256 (Acuson — Siemens), IE 33 (Philips).
Киста — патологическая полость в тканях и органах, имеющая стенку и содержимое. Различают истинные и ложные кисты. Истинные кисты выстланы эндотелием или эпителием, в то время как ложные такой выстилки не имеют. По происхождению различают приобретенные и врожденные кисты (т.е. возникающие при порочном формировании тканей и органов); они могут быть единичными и множественными.
Наиболее распространена классификация кист по их формированию [3]: 1) дизонтогенетические; 2) паразитарные; 3) опухолевые; 4) рамолиционные; 5) травматические; 6) ретенционные; 7) тератобластомы (промежуточные между опухолевыми и дизонтогенетическими).
Дизонтогенетические кисты — кистовидное превращение сохранившихся эмбриональных каналов и щелей (дермоидные и целомические кисты). Целомические кисты содержат целомическую жидкость. В процессе эмбриогенеза целом участвует в образовании перикарда, брюшинной и плевральной полостей. Термин «целомическая киста перикарда» предложен A. Lambert в 1940 г. Такие кисты составляют 5—6% от числа всех объемных образований средостения [1]. Гистологически стенка кист напоминает строение перикарда. По данным литературы [1], в 30% случаев кисты перикарда клинически ничем не проявляются.
Примером целомической кисты перикарда в нашей практике может служить киста, выявленная у пациентки, которая поступила с жалобами на боли в грудной клетке в течение 15 лет, купирующиеся нитратами. При рентгенографии органов грудной клетки обнаружена киста перикарда позади сердца размерами 7х5 см. При ЭхоКГ зарегистрированы отсутствие зон асинергии миокарда левого желудочка (ЛЖ) и замкнутое эхосвободное пространство грушевидной формы размерами 5,1х3,9 см по задней поверхности сердца на уровне атриовентрикулярной борозды. Движения этого образования носили передаточный характер. При сравнении с предыдущим опытом диагностики локализованного перикардиального выпота представлялось, что данное образование имеет более ограниченную форму. Оно содержало нитевидные прерывистые эхосигналы, обусловленные, по-видимому, эффектом «горизонтализации» интенсивных эхосигналов от перикарда. После удаления кисты перикарда выявлен тонкостенный пузырь грушевидной формы 6,5х4,5х2,5 см, полость гладкая, с тенденцией к формированию отдельных камер, в просвете — прозрачные слизистые массы; стенка образована склерозирующей тканью с участками гиалиноза; полость сохраняла мезотелиальную выстилку с участками пролиферации мезотелия.
С другим примером целомической кисты сердца встретились у пациентки В., 54 лет с жалобами на боли в области сердца. Данные двухмерной трансторакальной и чреспищеводной интраоперационной ЭхоКГ были одинаковыми: выявлялось округлое образование с гипоэхогенным содержимым, окруженное плотной капсулой, размером 9х6,2 см, несколько деформирующее полость ЛЖ в области заднебоковой его стенки, что не отражалось на глобальной систолической функции ЛЖ (рис. 1).
Рисунок 1. Двухмерная ЭхоКГ сечения 4 камер сердца и аорты пациентки В., 54 лет.
В ближнем поле изображения — по заднепатеральной стенке ЛЖ — целомическая киста перикарда (пунктиром обозначены размеры кисты).
Здесь и на рис. 2—5: ЭхоКГ — эхокардиограмма; ЛЖ — левый желудочек.
Эхинококковые кисты сердца представляют собой личиночную стадию ленточного гельминта Echinococcus granulosus. Ученые древности рассматривали эхинококковые кисты как расширение лимфатических сосудов и называли гидатидами [5].
Эхинококкоз сердца встречается у 0,5—2% пациентов, страдающих поливисцеральным эхинококкозом [6], и развивается путем инвазии миокарда через коронарное кровообращение. Наибольший опыт наблюдения за пациентами с эхинококковыми кистами сердца принадлежит сирийским ученым S. Kabbani и соавт.[7] и включает 19 пациентов.
Гистологически стенка кисты состоит из внутренней (зародышевой) и наружной (кутикулярной) оболочек. Вокруг эхинококкового пузыря в результате реакции тканей хозяина формируется плотная фиброзная капсула. В зародышевой (герминативной оболочке толщиной 0,01—0,025 мм) имеется множество выводковых капсул. В них развиваются зародышевые сколексы. В толще герминативной оболочки из сколексов могут образовываться дочерние пузыри (гидатиды), которые у человека имеют эндогенный рост — дочерние пузыри отрываются и свободно плавают в эхинококковой жидкости. В полости дочерних пузырей могут находиться отделившиеся от них мельчайшие «внучатые» пузыри [6]. Фиброзная капсула может быть спаяна с окружающими тканями и обызвествлена. При гибели паразита киста заполняется гнойным детритом и может кальцинироваться [4, 9]. В нашей практике кальцинированная паразитарная киста была обнаружена у пациента Ж., 82 лет, выглядела однородно гиперэхогенной округлой структурой и не влияла на кардиогемодинамику. Это послужило противопоказанием к хирургическому вмешательству.
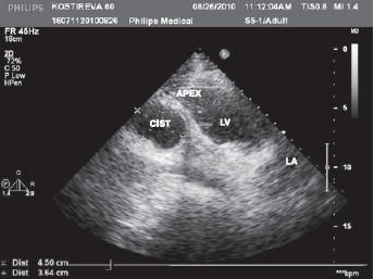
Живые кисты наполнены прозрачной жидкостью, имеют сферическую или овальную форму и отдельные дочерние пузыри, окруженные более тонкой хитиновой оболочкой. Они могут достигать больших размеров и тогда (если толщина хитиновой оболочки находится в пределах разрешающей способности используемого ультразвукового прибора) в реальном времени видна ундулирующая мембрана — стенка дочернего пузыря, что мы обнаружили всего у одного из 6 пациентов с эхинококковой кистой сердца. У 5 пациентов локализация эхинококковой кисты была интракардиальной: у одного пациента с поливисцеральным эхинококкозом обнаружено солидное округлое образование повышенной эхогенности в области верхушки ЛЖ, у другого — в полости правого желудочка, исходящее из межжелудочковой перегородки (МЖП), остальные — интрамиокардиальной локализации. И лишь у одной пациентки киста исходила из висцерального листка перикарда на срединноапикальном уровне задней стенки ЛЖ и была размерами 4,5х3,6 см (рис. 2).
Рисунок 2. Двухмерная ЭхоКГ пациентки К., 60 лет.
Эхинококковая киста перикарда ЛЖ. Здесь и на рис. 4, 5: LV, ЛЖ — левый желудочек; LA — левое предсердие; APEX — верхушка сердца; CIST — киста.
Другая пациентка Б., 9 лет госпитализирована с диагнозом: распространенный эхинококкоз с поражением IV, V и VII сегментов печени и сердца. Рентгенологически в малом круге кровообращения изменения не определялись. Сердце и аорта не изменены. На электрокардиограмме ритм синусовый, отклонение электрической оси сердца вправо, очаговые изменения миокарда верхушечной области. Данные фонокардиографического исследования: I тон расщеплен на верхушке, по левому краю грудины регистрируется среднеамплитудный мезосистолический шум.
При трансторакальной ЭхоКГ отмечены увеличение правых отделов сердца и овальной формы образование размером 4,4х3,2 см, содержащее жидкость и тонкую перемычку, видимую при получении изображения в реальном времени и исходящее из правой части МЖП, занимающее большую часть полости правого желудочка (рис. 3).
Рисунок 3.Двухмерная ЭхоКГ пациентки Б., 9 лет.
Эхинококковая киста в полости правого желудочка, исходящая из МЖП. 1 - полость правого желудочка.
Больные, перенесшие операцию эхонококкэктомии, нуждаются в ЭхоКГ в динамике с целью поиска истинного и ложного рецидива эхинококкоза. Истинный рецидив болезни, возникающий в результате реинвазии, встречается редко и должен рассматриваться как самостоятельное повторное заболевание.
У пациентки Б., 11 лет (спустя 2 года после операции) при ЭхоКГ, выполненной по месту жительства, был предположен рецидив эхинококкоза сердца, что можно объяснить неправильной ориентацией датчика, приведшей к изображению замкнутого псевдообразования в области истонченной и аневризматически выпячивающейся МЖП в области операции. Комплексная ЭхоКГ в нашем центре позволила выявить дискретную приобретенную аневризму МЖП и опровергнуть рецидив заболевания.
Так называемый ложный рецидив паразитарной кисты сердца возникает иногда вскоре после операции и обусловлен наличием не выявленных до операции и во время нее кист и нарушением методики эхинококкэктомии [4, 6, 10]. Поэтому наиболее ценной диагностической пробой на всех этапах наблюдения за больным следует считать реакцию латекс-агглютинации, обладающей чувствительностью 96,3% [6, 11].
Учитывая единственное наблюдение в нашей практике за пациентом К., 17 лет, с верифицированной на операции миксомой ЛЖ кистоподобной конфигурации (на ножке, подвижной сообразно с кровотоком и с эхонегативным содержимым), следует дифференцировать псевдоопухолевые образования (к которым относят кисты) от подобной редкой формы миксом с помощью латекс-теста.
Опухолевые кисты возникают в случае, если растущая ткань опухоли формирует однокамерные или чаще многокамерные полости. К разряду опухолевых кист относятся обнаруженные нами при двухмерной ЭхоКГ множественные мелкие и округлые эхонегативные включения в обширном объемном образовании (размерами 7х7,5 см), локализующемся в области боковых стенок ЛЖ и левого предсердия (рис. 4). Существующее образование изменяло геометрию полости ЛЖ и левого предсердия и сопровождалось массивным перикардиальным выпотом (гемоперикардом). По данным импульсноволновой допплер-ЭхоКГ, ангиосаркома миокарда препятствовала активному расслаблению миокарда и приводила к глобальной диастолической дисфункции ЛЖ I типа.
Рисунок 4. Двухмерная ЭхоКГ, выполненная из различных акустических "окон", пациентка К., 29 лет.
Диагноз: ангиосаркома миокарда (указана стрелками). RV— правый желудочек; RA — правое предсердие; EF — перикардиальный выпот.
По данным сцинтиграфии миокарда в трехмерном формате с Т1-хлоридом 60 МБк в покое, ЛЖ увеличен, персистирующие дефекты перфузии мозаичного характера в заднебоковых сегментах ЛЖ, по передней стенке и в базальных сегментах нижней стенки. Пациент подвергся эксплоративной операции, при гистологическом исследовании выявлена ангиосаркома миокарда.
Приобретенная кистаперикарда в нашей практике обнаружена у пациента Б., 55 лет, перенесшего операцию двойного аортокоронарного шунтирования передней межжелудочковой и правой коронарных артерий. Спустя 10 лет пациент поступил в наш центр с явлениями рецидива стенокардии. При рентгеноскопии органов грудной клетки обнаружена округлая интенсивная тень размерами 8х12х9 см с четкими контурами, тесно прилегающая к заднебоковой стенке ЛЖ. Предложено дифференцировать диагноз между кистой, истинной и ложной аневризмой ЛЖ. Трансторакальная ЭхоКГ позволила выявить зоны гипокинезии миокарда задней и латеральной стенок ЛЖ на среднем и апикальном уровнях, снижение фракции выброса до 36%. Вдоль заднебоковой стенки сердца отмечено неоднородное по плотности, с фестончатым наружным краем образование размерами 6,8х3,0х2,6 см (рис. 5). Такое изображение без четко очерченной капсулы резко отличалось от всех описанных ранее, имело разнородное по эхогенности содержимое, что соответствовало понятию «рамолиционной» кисты (киста «от размягчения» послеоперационной гематомы в этой области).
Рисунок 5. Двухмерная ЭхоКг пациента Б., 55 лет.
Диагноз: состояние после 2 операций АКШ в 1987 г., приобретенная киста перикарда (указана стрелками). АКШ аортокоронарное шунтирование; А — аорта.
Такого рода киста является еще и травматической по своей сути, так как развилась после операционной травмы. Рамолиционные кисты образуются в компактной ткани при очаговом омертвении ее (при кровоизлиянии, воспалении, некрозе, инфаркте) и последующем размягчении, разжижении и резорбции нежизнеспособного субстрата. Стенка такой кисты образована тканью органа, в котором она локализуется. В дальнейшем киста может замениться соединительной тканью. При чреспищеводной ЭхоКГ это образование находилось вне оптимального поля обзора.
Больному выполнена операция повторного АКШ (переднемежжелудочковой артерии и задней межже- лудочковой ветви) и удаления приобретенной кисты. В ходе операции выявлено, что по всей заднебоковой поверхности ЛЖ находится спаянное со стенкой плотное образование. Стенка кисты представлена плотной фиброзно-мышечной тканью, просвет содержит старые тромботические массы, фибрин и гемолизированную кровь. Площадь кисты составляла 9х11 см, после удаления ее стенка ЛЖ оставалась неровной и бугристой.
Заключение
Наблюдения за единичными случаями верифицированных кист сердца еще не дают нам право создавать диагностический симптомокомплекс. Диагностика таких образований во многом носит описательный и предположительный характер. Псевдоопухолевые образования, к которым относят кисты сердца, могут иметь сходство с опухолями кистоподобной конфигурации.



